關於陽名
about
最新消息
news
診療項目
service
家庭牙科
兒童牙科
牙周病科
齒顎矯正
人工植牙
口腔外科
醫療團隊
team
案例介紹
case
門診時間
time
地點介紹
map
線上諮詢
talk
關於陽名 / about
最新消息 / news
診療項目 / service
家庭牙科
兒童牙科
牙周病科
齒顎矯正
人工植牙
口腔外科
醫療團隊 / team
案例介紹 / case
門診時間 / work
地點介紹 / map
線上諮詢 / talk
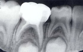
Pulpectomy(乳牙根管治療)
Pulpectomy(乳牙根管治療)
小朋友蛀牙太深故須作根管治療,之後做不鏽鋼乳牙套予以復形.
back
購物車
登入
Close
Email帳號
密碼
驗證碼
Voice Play
4213
登入
註冊會員
忘記密碼
非會員購買
登入成功