關於陽名
about
最新消息
news
診療項目
service
家庭牙科
兒童牙科
牙周病科
齒顎矯正
人工植牙
口腔外科
醫療團隊
team
案例介紹
case
門診時間
time
地點介紹
map
線上諮詢
talk
關於陽名 / about
最新消息 / news
診療項目 / service
家庭牙科
兒童牙科
牙周病科
齒顎矯正
人工植牙
口腔外科
醫療團隊 / team
案例介紹 / case
門診時間 / work
地點介紹 / map
線上諮詢 / talk
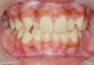
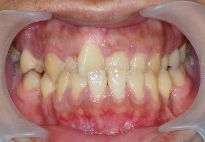
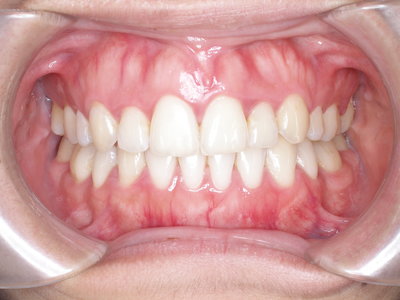
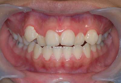
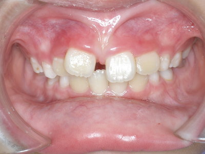
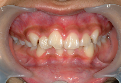
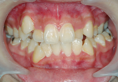
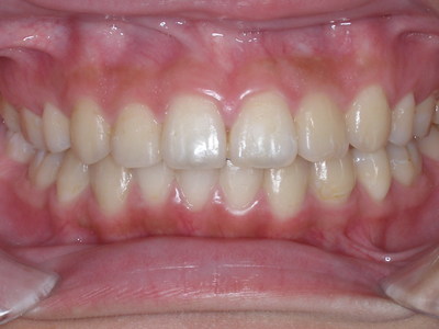
矯正病歷集
CASE001
CASE002
CASE003
CASE004
CASE005
CASE006
CASE007
CASE008
CASE009
CASE010
CASE011
CASE012
CASE013
back
購物車
登入
Close
Email帳號
密碼
驗證碼
Voice Play
4182
登入
註冊會員
忘記密碼
非會員購買
登入成功